Перейти к:
Тотальная реабилитация верхней челюсти с применением цифрового протокола: клинический случай
https://doi.org/10.25207/1608-6228-2025-32-5-85-95
Аннотация
Введение. Современные достижения цифровой стоматологии способствуют повышению эффективности реабилитации пациентов с отсутствием зубов, постепенно сменяя аналоговые методы. Возможность объединения конусно-лучевой компьютерной томографии с данными внутриротового сканирования позволяет точно планировать операции в виртуальном формате и сводить к минимуму отклонения при установке имплантатов. Кроме того, это обеспечивает высокую точность посадки ортопедических конструкций. Мы хотим представить вашему вниманию пример клинического случая с демонстрацией полного цифрового протокола, который становится все более актуальным в стоматологической практике.
Описание клинического случая. Представлен клинический случай по тотальному восстановлению верхнего зубного ряда пациента. Причиной потери зубов стал хронический пародонтит и его осложнения. После проведения диагностики пациенту был поставлен диагноз по МКБ-10: К08.1 — потеря зубов вследствие несчастного случая, удаления или локальной периодонтальной болезни, К05.3 — хронический генерализованный пародонтит в стадии ремиссии. Было проведено удаление зуба 1.3, установка шести имплантатов с применением навигационного шаблона, установка супраструктур (мультиюнит-абатментов) с последующим внутриротовым сканированием челюстей для изготовления временной ортопедической конструкции. На 3-и сутки после операции временная конструкция была зафиксирована в полости рта. Через 6 месяцев было проведено повторное внутриротовое сканирование и изготовлена постоянная ортопедическая конструкция на винтовой фиксации из диоксида циркония (без титановых оснований).
Заключение. Описанный клинический случай демонстрирует отработанный подход в проведении тотальной реабилитации челюсти с применением дентальных имплантатов и полного цифрового протокола. Цифровые технологии способствуют повышению эффективности имплантологического лечения пациентов, снижению рисков развития осложнений, повышению комфорта для пациента, облегчению взаимодействия между врачом и зубным техником.
Ключевые слова
Для цитирования:
Ашурко И.П., Тунева Н.О., Трофимов А.Э., Соседкин Д.Ю. Тотальная реабилитация верхней челюсти с применением цифрового протокола: клинический случай. Кубанский научный медицинский вестник. 2025;32(5):85-95. https://doi.org/10.25207/1608-6228-2025-32-5-85-95
For citation:
Ashurko I.P., Tuneva N.O., Trofimov A.E., Sosedkin D.Yu. Total maxillary rehabilitation using a digital protocol: A clinical case study. Kuban Scientific Medical Bulletin. 2025;32(5):85-95. (In Russ.) https://doi.org/10.25207/1608-6228-2025-32-5-85-95
ВВЕДЕНИЕ
Тенденции последних лет в области реконструктивной стоматологии направлены на внедрение цифровых технологий в клиническую и зуботехническую практику. Аналоговые методы протезирования постепенно отходят на второй план, уступая место цифровым протоколам реабилитации пациентов. Возможности современной стоматологии позволяют восстановить жевательную функцию и эстетику в максимально короткие сроки [1–3]. Возможность объединения данных конусно-лучевой компьютерной томографии и файлов внутриротового сканирования в программах-проектировщиках позволяет спланировать операцию в полностью виртуальном формате и воспроизвести ее с предельной точностью. Метод позволяет не только правильно позиционировать имплантат, но и визуализировать положение будущих ортопедических конструкций, а также согласовать с пациентом проект будущих протезов [4–7]. Помимо этого, подобный поход позволяет свести к минимуму отклонения положения имплантата в момент его установки. Цифровое планирование способствует прогнозированию возможных осложнений, а также минимизации рисков еще на этапе подготовки к операции [6][8]. Кроме того, применение внутриротового сканирования на этапе временного и постоянного протезирования с опорой на дентальные имплантаты обеспечивает точность посадки ортопедической конструкции, сопоставимую с традиционным лечением. Цифровые протоколы в стоматологической практике позволяют переходить к более индивидуализированным, предсказуемым, комфортным и безопасным стратегиям лечения. Объединение данных моделирования, планирования и результатов оперативного вмешательства в единый цифровой дизайн улыбки, в котором отражены пожелания пациента в том числе, обеспечивает устойчивый прогресс в качестве лечения и долгосрочные благоприятные исходы для пациента [9].
Представленный клинический случай демонстрирует применение полного цифрового протокола от диагностики до реализации и контроля исхода лечения с подробным описанием каждого из этапов. Клинический пример показывает, что цифровые технологии на сегодняшний день прочно входят в практику врачей-стоматологов, являются актуальным направлением в имплантологии и требуют дальнейшего изучения [10][11].
КЛИНИЧЕСКИЙ ПРИМЕР
Информация о пациенте
Пациент А., 57 лет, в порядке самообращения обратился 8.07.2024 на кафедру хирургической стоматологии института стоматологии им. Е. В. Боровского федерального государственного автономного образовательного учреждения высшего образования «Первый Московский государственный медицинский университет имени И. М. Сеченова» Министерства здравоохранения Российской Федерации (Сеченовский Университет) (ФГАОУ ВО «Первый МГМУ им. И. М. Сеченова» Минздрава России (Сеченовский Университет)) с жалобами на отсутствие зубов на верхней челюсти, затруднение жевания, неудовлетворенность внешним видом улыбки.
Анамнез заболевания: зубы на верхней челюсти были удалены вследствие развития пародонтита и его осложнений в течение последних пяти лет. Около 2‑х лет назад пациенту был изготовлен частично-съемный протез на кламмерах. На момент осмотра пациент находился под наблюдением врача стоматолога-гигиениста и пародонтолога.
Анамнез жизни: без особенностей. Вредные привычки отрицает.
Аллергологический анамнез со слов пациента не отягощен.
Физикальная диагностика
Внешний осмотр: конфигурация лица не изменена (рис. 1). Открывание рта полное, свободное. При пальпации височно-нижнечелюстного сустава и жевательных мышц патологий не выявлено.

Рис. 1. Клинические фотографии пациента А.: А — с улыбкой; Б — с ретрактором
Примечание: фотография выполнена авторами.
Fig. 1. Clinical photographs of patient A.: A — smiling; Б — with retractor
Note: The photograph was taken by the authors.
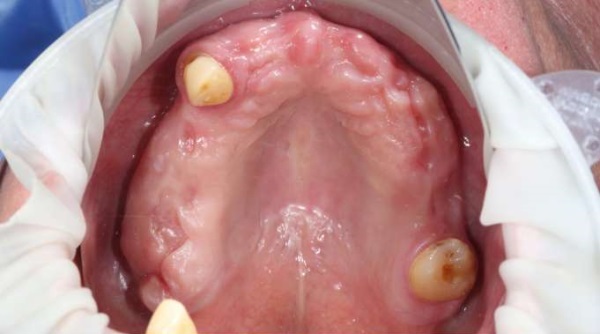
Осмотр полости рта: на верхней челюсти визуализируется частично-съемный протез на кламмерах с опорой на зубы 1.3 и 2.7. Наддесневые и поддесневые зубные отложения отсутствуют, слизистая оболочка бледно-розового цвета, умеренно увлажнена, кровоточивость при зондировании отсутствует. Глубина зондирования в области всех зубов не превышает 4 мм. Наблюдается удовлетворительное состояние тканей пародонта, без признаков воспаления (рис. 2).

Рис. 2. Состояние мягких тканей полости рта пациента А. на момент обращения
Примечание: фотография выполнена авторами
Fig. 2. Soft oral tissue in patient A. at the time of consultation
Note: The photograph was taken by the authors.
Артериальное давление в пределах допустимых значений.
Предварительный диагноз
На момент начала лечения на основании жалоб, анамнеза после объективного осмотра пациенту поставлен диагноз «частичное отсутствие зубов».
Временная шкала
События развития заболевания пациента А., этапы диагностики, планирования представлены на рисунке 3.

Рис 3. Хронология развития болезни у пациента А.: ключевые события и прогноз
Примечание: блок-схема временной шкалы выполнена авторами (согласно рекомендациям CARE).
Fig. 3. Chronology of disease development in patient A.: key events and prognosis
Note: The block diagram of the timeline was created by the authors (as per CARE recommendation).
Диагностические процедуры
Лабораторные исследования (от 9.07.2024, проведены в лаборатории общества с ограниченной ответственностью «Научно-производственная фирма «Хеликс»)
Общий анализ крови в пределах допустимых значений. Биохимический анализ крови в пределах допустимых значений.
Инструментальные исследования (от 10.07.2024, проведены в институте стоматологии им. Е. В. Боровского ФГАОУ ВО «Первый МГМУ им. И. М. Сеченова» Минздрава России (Сеченовский Университет))
По данным конусно-лучевой компьютерной томографии, на верхней челюсти визуализируется частичное отсутствие зубов, отмечается атрофия кости альвеолярного отростка верхней челюсти. Верхнечелюстные пазухи умеренно пневматизированы, без патологических изменений. Объем кости достаточен для установки дентальных имплантатов (рис. 4).

Рис. 4. Снимок конусно-лучевой компьютерной томографии пациента А. Отмечается атрофия кости альвеолярного отростка верхней челюсти (отмечено фигурами)
Примечание: фотография выполнена авторами.
Fig. 4. Cone beam computed tomography image of patient A. The atrophy of maxillary alveolar process is noted (marked with rectangles)
Note: The photograph was taken by the authors.
Клинический диагноз
На основании результатов проведенных диагностических исследований были установлены диагнозы по МКБ-10: К08.1 — потеря зубов вследствие несчастного случая, удаления или локальной периодонтальной болезни, К05.3 — хронический генерализованный пародонтит в стадии ремиссии.
Дифференциальная диагностика
Данные конусно-лучевой компьютерной томографии позволили подтвердить окончательный клинический диагноз хронического пародонтита и частичной потери зубов, в связи с этим в проведении дифференциальной диагностики с другими заболеваниями зубов и периапикальных тканей не было необходимости.
Медицинские вмешательства
В соответствии с поставленным диагнозом был составлен план лечения, который включал в себя: удаление зуба 1.3; установка 6 имплантатов системы Neodent (Straumann, Швейцария) в области зубов 1.6, 1.4, 1.2, 2.2, 2.4, 2.6 с одномоментной установкой супраструктур (мультиюнит-абатменты); интраоперационное сканирование с уровня мультиюнит-абатментов с последующим изготовлением временной конструкции на винтовой фиксации из PMMA-пластмассы (Polymethyl Methacrylate, полиметилметакрилат); через 6 месяцев после проведения операции — окончательное протезирование.
Для планирования хирургического этапа лечения было выполнено внутриротовое сканирование зубных рядов пациента при помощи сканера Primescan (Dentsply Sirona, США). Далее полученные stl-файлы зубных рядов вместе с данными конусно-лучевой компьютерной томографии исследования пациента в виде dcm-файлов были загружены в программу для планирования постановки имплантатов 3Diagnosys (3DIEMME, Италия).
Коронки искусственных зубов на частично-съемном протезе пациента использовались в качестве ориентира при позиционировании имплантатов, так как имеющийся частично-съемный протез устраивал пациента с эстетической и функциональной точек зрений (рис. 5).

Рис. 5. Виртуальное планирование операции дентальной имплантации пациента А. в программе 3Diagnosys: А — модель коронки искусственных зубов на частично-съемном протезе пациента использовались в качестве ориентира при позиционировании имплантатов с наложением на снимки конусно-лучевой томографии; Б — позиционирование имплантатов в альвеолярном отростке верхней челюсти в программе-моделировщике на сагиттальном срезе; В — виртуальное позиционирование имплантатов с наложением на ортопантомограмму
Примечание: фотографии выполнены авторами.
Fig. 5. Virtual planning of dental implant surgery for patient A. in the 3Diagnosys software: A — a model of artificial tooth crown on the patient’s partial removable denture was used as a reference point for implant positioning with superimposition on cone beam computed tomography images; Б — positioning of implants in the maxillary alveolar process in the simulation software on a sagittal section; В — virtual positioning of implants superimposed on an orthopantomogram
Note: The photograph was taken by the authors.
После завершения позиционирования имплантатов данные выгружали в программу PlastyCad (3DIEMME, Италия), в которой проводили моделирование хирургического навигационного шаблона. Непосредственную печать хирургического шаблона проводили на 3D принтере HardLight SIRIUS Black Light (HardLight, Россия) из фотополимера Dental Yellow Clear Pro Resin (Harz Labs, Россия) (рис. 6).

Рис. 6. Хирургический навигационный шаблон
Примечание: фотография выполнена авторами.
Fig. 6. Surgical navigation template
Note: The photograph was taken by the authors.
Динамика и исходы
17.07.2024 г. Под инфильтрационной анестезией Артикаин Inibsa с эпинефрином 4 % 1:100 000 1,8 мл (Inibsa, Испания) было произведено позиционирование и фиксация хирургического шаблона при помощи 5 внутрикостных пинов (3 — вестибулярно; 2 — небно). При помощи навигационных хирургических фрез были последовательно сформированы остеотомические отверстия и установлены дентальные имплантаты во все запланированные позиции, исключая установку имплантата в области зуба 1.4 (ось установки имплантата пересекалась с корнем зуба 1.3, рис. 7 А). Далее было выполнено снятие хирургического шаблона, удаление зуба 1.3, после чего шаблон был зафиксирован повторно и произведена установка имплантата в области зуба 1.4 (рис. 7 Б). Все имплантаты были установлены с первичным торком более 30 Н/см², что обеспечивало возможность немедленной нагрузки.

Рис. 7. Этап установки дентальных имплантатов у пациента А: А — до удаления зуба 1.3; Б — после удаления зуба 1.3
Примечание: фотографии выполнены авторами.
Fig. 7. Placement of dental implants in patient A.: A — before extraction of tooth 1.3; Б — after extraction of tooth 1.3
Note: The photograph was taken by the authors.
После снятия хирургического шаблона при помощи костного риммера (профайлера) было произведено контурирование кости в области шейки каждого из имплантатов, установлены мультиюнит-абатменты (1.6 и 2.6 — прямые; 2.4, 2.2, 1.2 — угловые (15°); 1.4 — угловой (30°), рис. 8).

Рис. 8. Этап фиксации мультиюнит-абатментов у пациента А.
Примечание: фотография выполнена авторами.
Fig. 8. Fixation of multi-unit abutments in patient A.
Note: The photograph was taken by the authors.
После окончания хирургического этапа лечения при помощи внутриротового сканера Primescan (Dentsply Sirona, США) произведено сканирование верхней челюсти (со скан-маркерами и без), нижней челюсти и состояние в окклюзии. Для точности регистрации окклюзии был дополнительно изготовлен прикусной шаблон, который представлял собой аналог пластмассовой копии частичного съемного протеза пациента, который фиксировался в полости рта через отверстия для внутрикостных пинов (рис. 9).

Рис. 9. Внутриротовое сканирование у пациента А. в день операции: А — без скан-маркеров; Б — со скан-маркерами; В — с прикусным шаблоном
Примечание: фотографии выполнены авторами.
Fig. 9. Intraoral scanning of patient A. on the day of surgery: A — without scan markers; Б — with scan markers; В — with occlusal template
Note: The photograph was taken by the authors.
В качестве послеоперационного ухода пациенту было рекомендовано ополаскивание полости рта раствором хлоргексидина глюконата 0,2 % два раза в день в течение 7 дней. Назначен прием антибактериальных (1 г Амоксиклав два раза в день в течение 5 дней) и противовоспалительных препаратов (нимесулида) в дозировке 100 мг 2–3 раза в день. Рекомендовано свести к минимуму травматизацию в месте операции.
Далее весь комплект внутриротовых 3D-файлов был отправлен в зуботехническую лабораторию, где было произведено моделирование и изготовление временной конструкции на винтовой фиксации из PMMA-пластмассы (рис. 10).

Рис. 10. Временная ортопедическая конструкция на винтовой фиксации: А — вид вестибулярной поверхности; Б — вид с окклюзионной плоскости
Примечание: фотографии выполнены авторами.
Fig. 10. Temporary prosthesis with screw fixation: A — view of the vestibular surface; Б — view from the occlusal plane
Note: The photograph was taken by the authors.
20.07.2024 г. На 3-и сутки после операции была произведена фиксация временной конструкции на установленные дентальные имплантаты (рис. 11, 12).

Рис. 11. Состояние мягких тканей полости рта пациента А. на 3-и сутки после установки дентальных имплантов
Примечание: фотография выполнена авторами.
Fig. 11. Soft oral tissue of patient A. on Day 3 after dental implant placement
Note: The photograph was taken by the authors.

Рис. 12. Внешний вид полости рта пациента А. после фиксации временной конструкции
Примечание: фотография выполнена авторами.
Fig. 12. Exterior view of the oral cavity in patient A. after fixation of the temporary structure
Note: The photograph was taken by the authors.
Для контроля точности позиционирования дентальных имплантатов было выполнено рентгенологическое исследование, которое позволило подтвердить соответствие фактического результата запланированному (рис. 13).

Рис. 13. Запланированное положение имплантатов (А) и контрольное рентгенологическое исследование после операции (Б)
Примечание: фотографии выполнены авторами.
Fig. 13. Planned implant position (A) and post-surgery control X-ray examination (Б)
Note: The photograph was taken by the authors.
Постоянное протезирование было рекомендовано через 6 месяцев после созревания мягких тканей.
21.12.2024 г. Через 6 месяцев после операции были проведены осмотр и повторное внутриротовое сканирование (рис. 14).

Рис. 14. Состояние мягких тканей полости рта пациент А. через 6 месяцев после операции (А). 3D-модель верхней челюсти через 6 месяцев после операции (сканирование с уровня скан-маркеров) (Б)
Примечание: фотография выполнена авторами.
Fig. 14. Soft oral tissue of patient A. six months after surgery (A). 3D model of the maxilla six months after surgery (scanned from scan markers) (Б)
Note: The photograph was taken by the authors.
Пациенту был проведен комплекс диагностических этапов, таких как проведение конусно-лучевой компьютерной томографии, аксиографии, миографии. Данные пациента были выгружены в программу P-art SDIMatrix (Цюрих, Швейцария), где была произведена оценка движения височно-нижнечелюстных суставов, работы мышц, определения центрального соотношения челюстей, высоты прикуса для рационального протезирования. Внутриротовые сканы вместе с фотографиями пациента и остальными диагностическими данными были отправлены в лабораторию, где зубным техником были выбраны оптимальная форма, длина, размеры искусственных зубов и их положение в зубной дуге.
Финальная несъемная конструкция была изготовлена в полную анатомию из диоксида циркония без армирования титановой балкой и без вклейки титановых оснований (рис. 15).

Рис. 15. Постоянная ортопедическая конструкция из диоксида циркония: А — вид вестибулярной поверхности; Б — вид окклюзионной плоскости
Примечание: фотография выполнена авторами.
Fig. 15. Permanent prosthesis made of zirconium dioxide: A — view of the vestibular surface; Б — view of the occlusal plane
Note: The photograph was taken by the authors.
Исходами хирургического и ортопедического вмешательств являлись полноценная реабилитация верхней челюсти, полное заживление слизистой оболочки, восстановление функций речи и жевания (рис. 16, 17). Каких-либо конструкционных или функциональных нарушений выявлено не было.

Рис. 16. Пациент А. сразу после постоянного протезирования
Примечание: фотография выполнена авторами.
Fig. 16. Exterior view of the oral cavity in patient A. immediately after the placement of a permanent prosthesis
Note: The photograph was taken by the authors.

Рис 17. Пациент А. сразу после постоянного протезирования
Примечание: фотография выполнена авторами.
Fig. 17. Patient A. immediately after the placement of a permanent prosthesis
Note: The photograph was taken by the authors.
Пациенту было назначено динамическое наблюдение 1 раз в 6 месяцев у врача стоматолога-ортопеда и 1 раз в 3–4 месяца у врача — стоматолога-терапевта для контроля биопленки и проведения индивидуальной гигиены полости рта на протяжении всего периода эксплуатации, установленной цельноциркониевой ортопедической конструкции.
Прогноз
Прогноз лечения пациента А. благоприятный при соблюдении рекомендаций и регулярных профилактических осмотрах.
Мнение пациента
Пациент удовлетворен результатами лечения. Качество жизни пациента А. значительно улучшилось, восстановилась жевательная функция и эстетика на верхней челюсти.
ОБСУЖДЕНИЕ
Комплексный подход стоматологов-хирургов и стоматологов-ортопедов при работе в полном цифровом протоколе демонстрирует успешные результаты [12][13]. В рамках научных исследований, проведенных ранее, подтверждена высокая точность сканирования полной зубной дуги на имплантатах для изготовления временной и постоянной ортопедических конструкций [14]. Наряду с этим, по данным ряда авторов, применение полного навигационного протокола при тотальной реабилитации челюстей также имеет высокие показатели эффективности [15].
Протезирование без использования аналоговых оттисков с помощью внутриротового сканирования все чаще находит применение в стоматологической практике [16][17]. Ортопедические конструкции, изготовленные из цельного диоксида циркония без использования титановых укрепляющих конструкций (балок) и без вклейки титановых оснований, демонстрируют удовлетворительные кратко- и среднесрочные результаты, однако в литературе недостаточно данных о долгосрочных результатах данного вида ортопедических конструкций [18][19].
Данный клинический случай проиллюстрировал эффективность комплексного подхода в тотальной реабилитации верхнего зубного ряда с использованием цифрового протокола, что было подтверждено положительными исходами и высокой удовлетворенностью пациента. Преимуществами использования комплексного подхода в тотальной реабилитации верхнего зубного ряда с применением цифрового протокола перед использованием традиционных методов являются повышение точности передачи информации благодаря использованию цифровых технологий, упрощение коммуникации между стоматологической клиникой и лабораторией, что способствует уменьшению времени работы врачей-стоматологов и зубных техников, а также оптимизирует количество визитов пациента в стоматологический кабинет.
Динамическое наблюдение за пациентом подтвердило стабильность и функциональность установленной цельноциркониевой ортопедической конструкции.
ЗАКЛЮЧЕНИЕ
Описанный клинический случай свидетельствует о том, что применение цифровых технологий облегчает процесс проведения дентальной имплантации и последующего протезирования как для врачей, так и для пациентов. В связи с интеграцией цифровых технологий в стоматологии пациент получает индивидуализированный подход, сочетающий в себе точность и безопасность лечения. Цифровые протоколы позволяют снизить риски осложнений на этапе подготовки и имплантации, обеспечивая более предсказуемый исход лечения. Применение навигационных шаблонов позволяет позиционировать имплантаты с минимальными отклонениями от запланированного положения, заранее учитывать анатомические особенности пациента. Использование внутриротового сканирования, помимо высокой точности, способствует увеличению скорости работы, повышению комфорта пациента, уменьшению неприятных ощущений во время лечения, облегчению взаимодействия между врачом и зубным техником.
Список литературы
1. Bratos M, Ramos V Jr, He W, Zhang H. An integrated digital workflow for long-term interim combined fixed and removable prostheses. J Prosthet Dent. 2024:S0022-3913(24)00135-5. https://doi.org/10.1016/j.prosdent.2024.01.038
2. Cappare P, Sannino G, Minoli M, Montemezzi P, Ferrini F. Conventional versus Digital Impressions for Full Arch Screw-Retained Maxillary Rehabilitations: A Randomized Clinical Trial. Int J Environ Res Public Health. 2019;16(5):829. https://doi.org/10.3390/ijerph16050829
3. Ashurko I, Trofimov A, Tarasenko S, Mekhtieva S. Full-Mouth Screw-Retained Implant-Supported Rehabilitation with Multiunit Abutments Using Virtual Guided Surgery and Digital Prosthetics Protocol. Case Rep Dent. 2020;2020:3585169. https://doi.org/10.1155/2020/3585169
4. Garcia E, Tung TW, Jaramillo S, Gutierrez A, Alvear J, Tinajero M. Full-Arch Rehabilitation With Mucosa-Supported Prostheses Utilizing a Digital Workflow: A Case Report. Cureus. 2024;16(7):e64941. https://doi.org/10.7759/cureus.64941
5. Tealdo T, Bevilacqua M, Scaglione L, Alberti C, Montagna P, Gelpi F, Gelpi F. A fully digital planning and manufacturing of an aesthetically conceived and guided full-arch implant-supported rehabilitation. European Journal of Musculoskeletal Diseases. 2024;13:2.
6. Nowicki A, Osypko K. Digital Workflow in Full Mouth Rehabilitation with Immediate Loading, Intraoral Welding and 3D-Printed Reconstructions in a Periodontal Patient: A Case Report. Reports (MDPI). 2023;6(4):52. https://doi.org/10.3390/reports6040052
7. Cattoni F, Chirico L, Merlone A, Manacorda M, Vinci R, Gherlone EF. Digital Smile Designed Computer-Aided Surgery versus Traditional Workflow in “All on Four” Rehabilitations: A Randomized Clinical Trial with 4-Years Follow-Up. Int J Environ Res Public Health. 2021;18(7):3449. https://doi.org/10.3390/ijerph18073449
8. Franchina A, Stefanelli LV, Gorini S, Fedi S, Lizio G, Pellegrino G. Digital Approach for the Rehabilitation of the Edentulous Maxilla with Pterygoid and Standard Implants: The Static and Dynamic Computer-Aided Protocols. Methods Protoc. 2020;3(4):84. https://doi.org/10.3390/mps3040084
9. La Monaca G, Pranno N, Annibali S, Di Carlo S, Pompa G, Cristalli MP. Immediate flapless full-arch rehabilitation of edentulous jaws on 4 or 6 implants according to the prosthetic-driven planning and guided implant surgery: A retrospective study on clinical and radiographic outcomes up to 10 years of follow-up. Clin Implant Dent Relat Res. 2022;24(6):831–844. https://doi.org/10.1111/cid.13134
10. Papaspyridakos P, De Souza A, Bathija A, Kang K, Chochlidakis K. Complete Digital Workflow for Mandibular Full-Arch Implant Rehabilitation in 3 Appointments. J Prosthodont. 2021;30(6):548–552. https://doi.org/10.1111/jopr.13356
11. Creagh J, Bohner L, Sesma N, Coachman C. Integrating a Facially Driven Treatment Planning to the Digital Workflow for Rehabilitation of Edentulous Arches: A Case Report. J Contemp Dent Pract. 2020;21(12):1393–1397.
12. Gracher AHP, de Moura MB, da Silva Peres P, Thomé G, Padovan LEM, Trojan LC. Full arch rehabilitation in patients with atrophic upper jaws with zygomatic implants: a systematic review. Int J Implant Dent. 2021;7(1):17. https://doi.org/10.1186/s40729-021-00297-z
13. Meloni S, Spano G, Ceruso FM, Gargari M, Lumbau A, Baldoni E, Massarelli O, Pisano M, Tallarico M. Upper jaw implant restoration on six implants with flapless guided template surgery and immediate loadings: 5 years results of prospective case series. Oral & Implantology. 2019;12(2):28. https://doi.org/10.1111/clr.45_13508
14. Wulfman C, Naveau A, Rignon-Bret C. Digital scanning for complete-arch implant-supported restorations: A systematic review. J Prosthet Dent. 2020;124(2):161–167. https://doi.org/10.1016/j.prosdent.2019.06.014
15. Azevedo M, Correia F, Faria Almeida R. Accuracy of Implant Guided Surgery in Fully Edentulous Patients: Prediction vs. Actual Outcome-Systematic Review. J Clin Med. 2024;13(17):5178. https://doi.org/10.3390/jcm13175178
16. Pesce P, Pera F, Setti P, Menini M. Precision and Accuracy of a Digital Impression Scanner in Full-Arch Implant Rehabilitation. Int J Prosthodont. 2018;31(2):171–175. https://doi.org/10.11607/ijp.5535
17. Pesce P, Bagnasco F, Pancini N, Colombo M, Canullo L, Pera F, Bressan E, Annunziata M, Menini M. Trueness of Intraoral Scanners in Implant-Supported Rehabilitations: An In Vitro Analysis on the Effect of Operators’ Experience and Implant Number. J Clin Med. 2021;10(24):5917. https://doi.org/10.3390/jcm10245917
18. Kim W, Li XC, Bidra AS. Clinical outcomes of implant-supported monolithic zirconia crowns and fixed partial dentures: A systematic review. J Prosthodont. 2023;32(2):102–107. https://doi.org/10.1111/jopr.13575
19. Bidra AS, Rungruanganunt P, Gauthier M. Clinical outcomes of full arch fixed implant-supported zirconia prostheses: A systematic review. Eur J Oral Implantol. 2017;10 Suppl 1:35–45.
Об авторах
И. П. АшуркоРоссия
Ашурко Игорь Павлович — кандидат медицинских наук, доцент, доцент кафедры хирургической стоматологии института стоматологии им. Е.В. Боровского
ул. Трубецкая, д. 8, стр. 2, г. Москва, 119048
Н. О. Тунева
Россия
Тунева Наталия Олеговна — аспирант кафедры хирургической стоматологии института стоматологии им. Е.В. Боровского
ул. Трубецкая, д. 8, стр. 2, г. Москва, 119048
А. Э. Трофимов
Трофимов Артем Эдуардович — кандидат медицинских наук, главный врач
проезд Попов, д. 4, помещ. 1/1, г. Москва, 107014
Д. Ю. Соседкин
Россия
Соседкин Дмитрий Юрьевич — генеральный директор
ул. Ломоносова, д. 11а, помещ. 56, г. Красноярск, 660021
Дополнительные файлы
Рецензия
Для цитирования:
Ашурко И.П., Тунева Н.О., Трофимов А.Э., Соседкин Д.Ю. Тотальная реабилитация верхней челюсти с применением цифрового протокола: клинический случай. Кубанский научный медицинский вестник. 2025;32(5):85-95. https://doi.org/10.25207/1608-6228-2025-32-5-85-95
For citation:
Ashurko I.P., Tuneva N.O., Trofimov A.E., Sosedkin D.Yu. Total maxillary rehabilitation using a digital protocol: A clinical case study. Kuban Scientific Medical Bulletin. 2025;32(5):85-95. (In Russ.) https://doi.org/10.25207/1608-6228-2025-32-5-85-95
































