Перейти к:
Пероральная эндоскопическая миотомия в лечении беременной пациентки с ахалазией кардии: клинический случай
https://doi.org/10.25207/1608-6228-2026-33-1-73-82
Аннотация
Введение. Ахалазия кардии — редкое заболевание пищевода, характеризующееся нарушением перистальтики и отсутствием нормального расслабления нижнего пищеводного сфинктера во время акта глотания.
Описание клинического случая. Пациентка Т. 28 лет поступила в приемное отделение государственного бюджетного учреждения здравоохранения «Краевая клиническая больница № 2» Министерства здравоохранения Краснодарского края 29.02.2024 в порядке скорой медицинской помощи. Беременность 28 недель. При поступлении состояние пациентки тяжелое. Жалобы при поступлении: в течение последних 3 недель отмечает выраженную тошноту, рвоту до 10–15 раз в сутки, в том числе после приема жидкой пищи, слабость, головокружение. Из анамнеза: с 17 лет периодически возникают подобные жалобы. У гастроэнтеролога не наблюдалась. Последнее время данные симптомы связывала с беременностью. Предварительный диагноз: на основании жалоб пациентки, анамнеза, клинической картины заболевания и данных осмотра выставлен диагноз: аспирационная пневмония; ахалазия кардии III ст. Госпитализирована в реанимационное отделение. Заключение консилиума в составе: акушер-гинеколог, хирург, гастроэнтеролог, анестезиолог-реаниматолог, неонатолог: «Аспирационная пневмония. Ахалазия кардии III ст. Беременность 28 недель. Дисметаболическая энцефалопатия Вернике с легким вестибуло-атактическим синдромом и глазодвигательными нарушениями. Гестационный сахарный диабет, на диетотерапии, голодовой кетоз. Анемия 2 ст. Дефицит массы тела (индекс массы тела 17,3 кг/см2 )». Гемотрансфузия 2.03.2024. В связи с тяжестью состояния пациентки, наличием осложнений основного заболевания, необходимостью восстановления энтерального питания консилиумом было принято решение об оперативном лечении ахалазии кардии методом пероральной эндоскопической миотомии. Оперативное вмешательство было выполнено. В послеоперационном периоде пациентка находилась под динамическим наблюдением в течение 3 месяцев в женской консультации. За этот период пациентка поправилась на 5,5 кг. Родоразрешение произошло в срок через естественные родовые пути доношенного ребенка. Состояние новорожденного по шкале Апгар 8–9 баллов.
Заключение. Применение пероральной эндоскопической миотомии у беременной пациентки является единичным случаем в мировой практике. Данная операция прошла успешно и никак не повлияла на дальнейшее развитие плода, вернула пациентку к физиологическому приему пищи и полноценному развитию плода.
Ключевые слова
Для цитирования:
Габриэль С.А., Пенжоян Г.А., Дурлештер В.М., Беспечный М.В. Пероральная эндоскопическая миотомия в лечении беременной пациентки с ахалазией кардии: клинический случай. Кубанский научный медицинский вестник. 2026;33(1):73-82. https://doi.org/10.25207/1608-6228-2026-33-1-73-82
For citation:
Gabriel S.A., Penzhoyan G.A., Durleshter V.M., Bespechniy M.V. Peroral endoscopic myotomy in the treatment of a pregnant achalasia patient: A clinical case. Kuban Scientific Medical Bulletin. 2026;33(1):73-82. (In Russ.) https://doi.org/10.25207/1608-6228-2026-33-1-73-82
ВВЕДЕНИЕ
Ахалазия кардии — редкое заболевание пищевода, характеризующееся нарушением перистальтики и отсутствием нормального расслабления нижнего пищеводного сфинктера во время акта глотания.
Этиология ахалазии кардии остается недостаточно изученной. Предполагается участие генетических факторов, аутоиммунных процессов и вирусных инфекций. Некоторые исследования указывают на роль нейродегенеративных изменений в нервных сплетениях пищевода, ведущих к утрате ингибирующих нервных волокон, контролирующих сокращение гладких мышц и релаксацию сфинктеров [1–3].
Патогенетические механизмы включают нарушение нервной регуляции гладкой мускулатуры пищевода, особенно парасимпатической системы, что ведет к потере способности нижней части пищевода расслабиться. У пациентов наблюдается повышение давления в нижнем пищеводном сфинктере. АК возникает у пациентов любого возраста и развивается постепенно. Пациентов беспокоит срыгивание только что съеденной пищей без признаков ее переваривания. Появление загрудинной боли. Характер самый разнообразный: от развития боли в грудной клетке до точно указываемого больным места.
Диагностика АК проводится несколькими инструментальными методами: 1. Рентгеноскопия пищевода с использованием контрастного вещества (определяется задержка контраста в пищеводе, расширение просвета пищевода, отсутствие нормальных перистальтических сокращений пищеводной трубки, сужение терминального отдела пищевода. 2. При эзофагоскопии выявляются следующие признаки: ослабление перистальтики и расширение пищевода, чаще всего наличие не переваренных пищевых масс в просвете пищевода.
Одним из основных методов диагностики ахалазии кардии является манометрия пищевода высокого разрешения, при которой используется многоканальный водно-перфузионный манометрический катетер, который подключаются к датчикам давления [4]. Катетер проводится трансназально и измеряет давление верхнего пищеводного сфинктера (ВПС), тела пищевода, нижнего пищеводного сфинктера (НПС) и желудка [5][6].
В связи с неэффективностью консервативной терапии «золотым стандартом» лечения больных с ахалазией кардии в настоящее время является пероральная эндоскопическая миотомия (ПОЭМ) благодаря высокой эффективности и безопасности вмешательства, что подтверждается данными многочисленных публикаций [7–12]. Операция обеспечивает стойкое снижение симптомов дисфагии (у 90 % пациентов).
КЛИНИЧЕСКИЙ ПРИМЕР
Информация о пациентке
Пациентка Т., 28 лет, поступила в приемное отделение в государственное бюджетное учреждение здравоохранения «Краевая клиническая больница № 2» Министерства здравоохранения Краснодарского края (ГБУЗ «ККБ № 2») в 9:42 29.02.2024 в порядке скорой медицинской помощи. При поступлении состояние пациентки тяжелое. Жалобы при поступлении: в течение последних 3 недель отмечает выраженную тошноту, рвоту до 10–15 раз в сутки, в том числе после приема жидкой пищи, слабость, головокружение, повышение температуры тела до 38 °C, кашель, в течение последних 3-х дней до госпитализации состояние ухудшилось.
Анамнез заболевания. С 17 лет периодически возникают данные жалобы. У гастроэнтеролога не наблюдалась. Периодически по назначению участкового терапевта принимала ингибиторы протоновой помпы (ИПП), антацидные препараты. Последнее время данные симптомы связывала с беременностью. Со слов пациентки, в течение последнего месяца перенесла аспирационную пневмонию, заключения и выписки не предоставлены.
Анамнез жизни. Проживает в городе Краснодаре. На момент госпитализации находится в отпуске по беременности и родам. Замужем, имеет 1 ребенка. Социально-бытовые условия проживания хорошие.
Аллергологический анамнез: со слов пациентки, аллергические реакции на лекарственные препараты и бытовые аллергены не отмечались.
Наследственный анамнез: со слов пациентки, не отягощен.
Акушерский анамнез: На диспансерном учете не состояла на момент поступления (с 31‑й недели встала на диспансерный учет в женскую консультацию № 4 г. Краснодар). Беременностей — 4, родов — 1, выкидыш — 1, аборт — 1. 2018 г. — самопроизвольный выкидыш 8 недель, без осложнений; 2022 г. март — роды в срок (40 недель), мальчик 3150 г, физиологическая желтуха. Перевод на 3-и сутки в отделение патологии новорожденных, выписана на 8-е сутки. В течение беременности токсикоз; 2022 г, май — медикаментозное прерывание беременности 5 недель, без особенностей; 2024 г. — настоящая беременность.
Физикальная диагностика
Общее состояние средней тяжести. Кожные покровы чистые, физиологической окраски. Периферические лимфоузлы не увеличены. В легких дыхание везикулярное, хрипов нет. Частота дыхательных движений (ЧДД) 18 в минуту. Тоны сердца ясные, ритмичные. Частота сердечных сокращений (ЧСС) 82 в минуту. Артериальное давление (АД) 125/80 мм рт. ст. Живот мягкий, безболезненный. Печень у края реберной дуги. Селезенка не увеличена. Почки не пальпируются.
Осмотр акушера-гинеколога: вагинальное исследование — шейка матки плотная, отклонена к крестцу, длиной 3,0 см, н/зев закрыт.
Пациентка госпитализирована в отделение реанимации.
Предварительный диагноз
На основании жалоб пациентки, анамнеза, клинической картины заболевания и данных осмотра выставлен диагноз: Ахалазия кардии? Беременность 28 недель. Дефицит массы тела (индекс массы тела (ИМТ) — 17,3 кг/см²). Госпитализирована в реанимационное отделение.
Временная шкала
Хронология течения заболевания пациентки Т., ключевые события и прогноз представлены на рисунке 1.

Рис. 1. Хронология развития болезни у пациентки Т., 28 лет: ключевые события и прогноз
Примечание: блок-схема временной шкалы выполнена авторами (согласно рекомендациям SCARE). Сокращения: ГБУЗ «ККБ № 2» — государственное бюджетное учреждение здравоохранения «Краевая клиническая больница № 2» Министерства здравоохранения Краснодарского края; ЭГДС — эзофагогастродуоденоскопия; ПОЭМ — пероральная эндоскопическая миотомия; R-скопия — рентгеноскопия.
Fig. 1. Chronology of the disease progression in patient T. aged 28 years: key events and prognosis
Note: The block diagram was created by the authors (as per SCARE recommendations). Abbreviations: ГБУЗ «ККБ № 2» — Regional Clinical Hospital No. 2, Ministry of Health of Krasnodar Krai; ЭГДС — esophagogastroduodenoscopy; ПОЭМ — peroral endoscopic myotomy; R-скопия — fluoroscopy.
Диагностические процедуры
(проведены в ГБУЗ «ККБ № 2»).
Лабораторные исследования (выполнены в условии приемного отделения; референсные значения указаны в скобках)
Общий анализ крови: эритроциты — 3,4×10¹² /л ((3,5–5,2)×10¹² /л); гемоглобин — 76 г/дл (11,0–15,2 г/дл); гематокрит — 28,5 % (33–46 %); сред. объем эритроцита — 79,9 фл (80–100 фл); среднее содержание гемоглобина в эритроцитах — 25,4 пг (27–35 пг); лейкоциты — 12,67×10⁹ /л ((4–11)×10⁹ /л); тромбоциты 361×10⁹ /л ((150–400)×10⁹ /л); остальные показатели без особенностей.
Биохимический анализ крови: С-реактивный белок (СРБ) — 21,3 мг/л (0–5 мг/л); общий белок — 60 г/л (64–83 г/л); альбумин — 32 г/л (35–52 г/л); мочевина — 1,8 ммоль/л (1,7–8,3 ммоль/л); креатинин — 40,9 мкмоль/л (44–90 мкмоль/л); общий билирубин — 7,1 мкмоль/л (1–15 мкмоль/л); глюкоза (венозная) — 7,17 ммоль/л (3,1–6,4 ммоль/л); аспартатаминотрансфераза (ACT) — 46 Ед/л (1–32 Ед/л); аланинаминотрансфераза (АЛТ) — 89 Ед/л (1–33 Ед/л); амилаза — 55 Ед/л (28–100 Ед/л).
Анализ крови на ВИЧ, гепатит В, гепатит С, сифилис: отрицательные.
Общий анализ мочи: белок 0,25 г/л (0–0,2 г/л); pH — 6,05 (7); остальные показатели — без особенностей.
Инструментальные исследования
Трансабдоминальное ультразвуковое исследование (УЗИ) (проведено при поступлении в условиях приемного отделения) — первый день последней менструации 17.08.2023. Срок беременности 28 недель. Определяется 1 плод. Сердечная деятельность — определяется. Положение плода продольное. Предлежащая часть — головка. Бипариетальный размер головки 70 мм. Окружность животика 225 мм, 40‑й процентиль. Окружность головы 256 мм. Бедренная кость 53 мм. Размеры соответствует 27–28 нед. беременности. Предполагаемый вес тела плода (ПВП) 1080 г, соответствует 50-му процентилю для данного срока (K. H. Nicolaides). Анатомия плода: норма. Место прикрепления пуповины к передней брюшной стенке визуализируется. Плацента расположена по задней стенке матки в нормальном положении. Толщина плаценты 28 мм, нормальная. Структура плаценты без особенностей (б/о). Степень зрелости 0–1. Количество околоплодных вод — умеренное маловодие. Индекс амниотической жидкости (ИАЖ) — 7,5 см. Качество околоплодных вод — б/о. Пуповина имеет 3 сосуда.
Доплерометрия: пульсационный индекс (ПИ) маточных артерий: справа 1,0 у. е. (<95-го процентиля), слева 0,9 у. е. (<95-го процентиля), средний 0,95 у. е. (<95-го процентиля), норма. ПИ пуповины: 1,15 у. е. (<95-го процентиля), норма. Визуализация затруднена. Заключение: УЗ-признаки прогрессирующей беременности 27–28 нед.
Заключение наружной гистерографии (НГ): нарушений не выявлено.
Эзофагогастродуоденоскопия (ЭГДС) (от 01.03.2024): отмечается расширение пищевода до 7 см (рис. 2 Б), пищевод S-образно извитой к нижней трети (рис. 2 Б, В), кардия плотно сомкнута, с трудом проходима эндоскопом. Заключение: Ахалазия кардии III ст. Хронический застойный эзофагит. Дилатация пищевода.

Рис. 2. Больная Т. Эндофото пищевода, осмотр в белом свете: А — визуализируется расширение пищевода до 7 см; Б, В — визуализируется S-образно извитой пищевод (выделено стрелкой, смещение входа в желудок (выделено фигурой)
Примечание: фотографии выполнены авторами.
Fig. 2. Patient T. White-light endoscopic image of the esophagus: А — esophageal dilation up to 7 cm; Б, В — sigmoid esophagus (indicated by the arrow) and displacement of the gastroesophageal junction (indicated by the oval shape)
Note: These images were obtained by the authors.
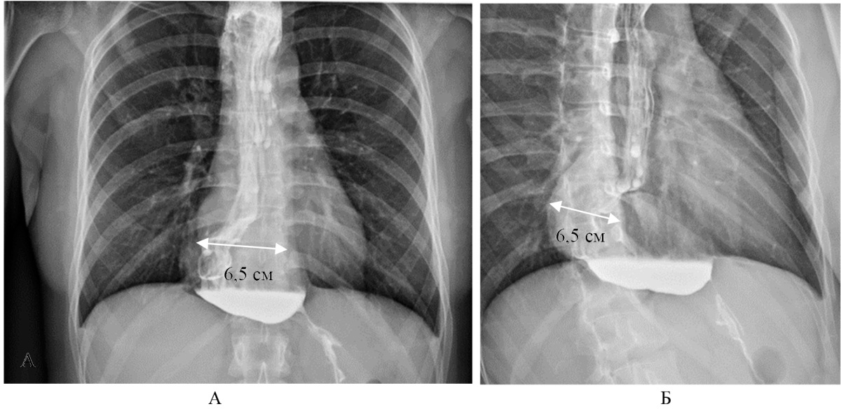
Рентгеноскопия с контрастным веществом (от 04.03.2024): пищевод расширен в верхней, средней и нижней трети до 6,5 см в диаметре (рис. 3 А, Б). Терминальный отдел пищевода сужен до 0,2 см в диаметре. Эвакуация контраста резко замедлена, одной малой порцией на протяжении всего исследования. Заключение: рентген-признаки ахалазии кардии III ст.

Рис. 3. Больная Т. Рентгеноскопия расширенного пищевода: А — проекция спереди; Б — проекция сбоку
Примечание: фотографии выполнены авторами.
Fig. 3. Patient T. Fluoroscopy of the dilated esophagus: А — front view; Б — side view
Note: These images were obtained by the authors.
Манометрия пищевода высокого разрешения (от 05.03.2024): ахалазия пищевода, I манометрический тип. Суммарное давление расслабления нижнего пищеводного сфинктера повышено — 48,1 мм рт. ст. (норма IRP < 15 мм рт. ст.). Среднее базальное давление верхнего пищеводного сфинктера (ВПС) (вне глотка) на начало исследования повышено — 114,8 мм рт. ст. (норма 34–104 мм рт. ст.), на завершение исследования повышено — 117,4 мм рт. ст. Среднее базальное давление НПС (вне глотка) на начало исследования повышено — 63,4 мм рт. ст. (норма 13–43 мм рт. ст.), на завершение исследования повышено — 57,2 мм рт. ст. (рис. 4).

Рис. 4. Больная Т. Манометрия пищевода высокого разрешения
Примечание: фотографии выполнены авторами. Сокращения: ВПС — верхний пищеводный сфинктер; НПС — нижний пищеводный сфинктер; РIР — суммарное давление расслабления; СДР — суммарное давление расслабления.
Fig. 4. Patient T. High-resolution esophageal manometry
Note: These images were obtained by the authors. Abbreviations: ВПС — upper esophageal sphincter; НПС — lower esophageal sphincter; СДР (РIР) — integrated relaxation pressure.
Консультации специалистов
Консультация врача-невролога (от 07.03.2024): дисметаболическая энцефалопатия Вернике с глазодвигательными нарушениями.
Консультация врача-гастроэнтеролога (от 07.03.2024): сочетанное заболевание: ахалазия кардии; рвота беременных; доброкачественная непрямая гипербилирубинемия; голодовой кетоз; беременность 28 недель, прогрессирует.
Клинический диагноз
Аспирационная пневмония. Ахалазия кардии III ст. Беременность 28 недель. Дисметаболическая энцефалопатия Вернике с легким вестибуло-атактическим синдромом и глазодвигательными нарушениями. Гестационный сахарный диабет, на диетотерапии, голодовой кетоз. Анемия 2 ст. Дефицит массы тела (ИМТ 17,3 кг/см²).
Дифференциальная диагностика
Дифференциальный диагноз проводили с кардиоэзофагеальным раком, пептической стриктурой, неврогенной анорексией. Диагноз ахалазии кардии был установлен на основании жалоб и клинической картины и подтвержден инструментальными методами исследований: при рентгеноконтрастном исследовании определяется расширение пищевода до 7 см и S-деформация пищевода, конусовидное сужение в области нижнего пищеводного сфинктера, задержка контрастной массы в пищеводе, отсутствие газового пузыря желудка. При выполнении эзофагогастродуоденоскопии визуализируют дилатацию просвета пищевода, наличие в нем остатков пищи, жидкости и слизи. Кардия смещена в сторону, проходима эндоскопом с чувством провала. При выполнении манометрии пищевода высокого разрешения суммарное давление расслабления нижнего пищеводного сфинктера повышено: более 40 мм рт. ст., сокращения по ходу пищевода отсутствовали.
Медицинские вмешательства
Лекарственная терапия: эноксапарин натрия 4000 анти-Ха МЕ/0,4 мл подкожно, 1 раз в сутки (р/сутки) — 10 дней; омепразол 40 мг 2 раза в сутки — 14 дней; натрия хлорид 0,9 % 250 мл внутривенно (в/в) 1 раз в сутки — 10 дней; глюкоза 10 % 500 мл в/в кап. 1 р/сутки — 10 дней; калия хлорид 40 мг/мл 10 мл 1 р/сутки — 10 дней в/в кап.
02.03.2024 с целью коррекции анемии второй степени ввиду основного заболевания (ахалазия кардии) была выполнена гемотрансфузия в объеме 2 доз (700 мл).
08.03.2024 проведен консилиум в составе: акушер-гинеколог, хирург, гастроэнтеролог, анестезиолог-реаниматолог, неонатолог; в связи с тяжестью состояния пациентки, наличием осложнений основного заболевания, необходимостью восстановления энтерального питания принято решение об оперативном лечении ахалазии кардии методом пероральной эндоскопической миотомии (ПОЭМ).
11.03.2024 года в 10:00 пациентке была выполнена операция ПОЭМ.
Мониторинг пациентки включал в себя следующие элементы: электрокардиографию (ЭКГ), неинвазивное измерение артериального давления (НИАД) каждые 5 минут, измерение сатурации (SpO2), капнографию с определением PetCO2, газоанализатор концентрации ингаляционных анестетиков и O2, термометрию, мониторинг уровня сознания (BIS-мониторинг) и нейромышечной проводимости (TOF-мониторинг).
После преоксигенации через лицевую маску 80 % О2 в течение 3 минут с приподнятым головным концом выполнена индукция анестезии методикой быстрой последовательной индукции следующими препаратами: кетамин (1 мг/кг), фентанил (3 мкг/кг), недеполяризующий миорелаксант ― рокурония бромид (1 мг/кг), через 60 секунд выполнена интубация трахеи с 1‑й попытки интубационной трубкой размером 7,0 мм1.
Искусственную вентиляцию легких (ИВЛ) проводили наркозным аппаратом Datex Ohmeda (General Electric, США), воздушно-кислородной смесью (FiO2 0,5) в режиме VCV, дыхательный объем устанавливался на уровне 6 мл/кг идеальной массы тела, PEEP = 5 мм рт. ст., частоту дыхания устанавливали в зависимости от значений PetCO2 (32–36 мм рт. ст.) Максимальный уровень PetCO2 на всех этапах оперативного вмешательства составлял 38 мм рт. ст. Поддержание анестезии осуществлялось инсуффляцией севофлурана 0,6–0,7 МАК с поддержанием уровня BIS, равным 50–60, и дробным введением фентанила в общей дозе 2,5–3 мкг/(кг×ч). Операционный стол был наклонен влево на 30° для предотвращения аорто-ковальной компрессии. После прекращения подачи анестетика пациентка была экстубирована в операционной через 15 минут на фоне TOF = 95 % и переведена в отделение реанимации.
Техника выполнения операции ПОЭМ традиционная: на расстоянии 25 см от резцов по задней стенке пищевода после создания гидравлической подушки (рис. 5 А) выполнили продольное рассечение слизистой оболочки (инициирующий разрез) на протяжении 2,0 см (рис. 5 Б, В).

Рис. 5. Больная Т. Интраоперационные эндофото: А — создание гидравлической подушки раствором «Гелофузин» (1); Б — выполнение инициирующего разреза (2); В — подслизистый слой пищевода (3)
Примечание: фотографии выполнены авторами.
Fig. 5. Patient T. Intraoperative endoscopic images: А — creation of a fluid cushion with Gelofusine solution (1); Б — initial incision (2); В — esophageal submucosa (3)
Note: These images were obtained by the authors.
Для создания гидравлической подушки использовали раствор «Гелофузин», подкрашенный индигокармином. Введение раствора в подслизистый слой осуществлялось с помощью эндоскопического инъектора (рис. 5 А). После выполнения инициирующего разреза эндоскоп вводился в подслизистый слой и формировался канал до субкардиального отдела желудка (рис. 5 В).
Формирование канала в подслизистом слое (рис. 6 А, Б) осуществлялось с помощью резектотомов. В случае визуализации крупных сосудов по ходу тоннеля выполнялась их коагуляция при помощи коаграспера.

Рис. 6. Больная Т. Интраоперационные эндофото: А, Б — формирование тоннеля в подслизистом слое (1) пищевода
Примечание: фотографии выполнены авторами.
Fig. 6. Patient T. Intraoperative endoscopic images: А, Б — creation of an esophageal submucosal tunnel (1)
Note: These images were obtained by the authors.
Далее выполнялся непосредственно этап миотомии: производили порционное рассечение циркулярного и продольного мышечных слоев на протяжении 8 см проксимальнее и на 2 см дистальнее кардии (рис. 7 А, Б). Заключительный этап операции — ушивание дефекта слизистой оболочки методом эндоскопического клипирования (рис. 7 В, Г).

Рис 7. Больная Т. Интраоперационные эндофото: А, Б — рассечение мышечного слоя (1) пищевода; В, Г — клипирование инициирующего разреза слизистой оболочки пищевода (отмечено стрелкой)
Примечание: фотографии выполнены авторами.
Fig 7. Patient T. Intraoperative endoscopic images: А, Б — incision of the esophageal muscle layer (1); В, Г — clipping of the initial incision made in the esophageal mucosa (indicated by the arrow)
Note: These images were obtained by the authors.
Во время проведения операции ПОЭМ также производили мониторинг плода. Выполняли доплерографию для определения состояния сердечной деятельности плода, а также наличия возможной гипоксии, кардиотокографию плода. В ходе проведения оперативного вмешательства изменений показателей состояния плода не зафиксировано.
Динамика и исходы
В послеоперационном периоде, 13.03.2024, с целью объективной оценки эффективности выполненной операции, а также исключения наличия возможных осложнений выполнили рентгеноскопию с контрастированием пищевода и желудка. Контрастное вещество свободно проходило в желудок, инициирующий разрез слизистой оболочки пищевода герметично закрыт. Пациентке разрешен прием жидкой пищи.
15.03.2024 пациентке выполнена манометрия пищевода высокого разрешения: суммарное давление расслабления нижнего пищеводного сфинктера в норме — 9,7 мм рт. ст. (норма IRP < 15 мм рт. ст.). Среднее базальное давление верхнего пищеводного сфинктера (ВПС) (вне глотка) на начало исследования в норме — 42,6 мм рт. ст. (норма 34–104 мм рт. ст.), на завершение исследования в норме — 47,7 мм рт. ст. Среднее базальное давление НПС (вне глотка) на начало исследования в норме — 16,6 мм рт. ст. (норма 13–43 мм рт. ст.), на завершение исследования в норме — 14,3 мм рт. ст.
Пациентка была выписана из стационара 18.03.2024 в удовлетворительном состоянии.
В течение 2 месяцев пациентка наблюдалась в женской консультации № 4 г. Краснодара, особенностей беременности не было.
07.05.2024 на сроке беременности 37 недель пациентка в плановом порядке поступила на стационарное лечение в отделение акушерской патологии беременных № 1 Перинатального центра ГБУЗ «ККБ № 2». Консультирована эндокринологом, диагноз: гестационный сахарный диабет на диетотерапии. Консультирована офтальмологом, диагноз: простой миопический астигматизм обоих глаз. Консультирована терапевтом, диагноз: гестационный пиелонефрит, латентное течение.
Назначена коррекция нарушений, вызванных СД, диетотерапия. Комплексная терапия хронической внутриутробной гипоксии плода: позиционная гимнастика, питьевой режим, анаэробные нагрузки.
13.05.2024 выполнено УЗИ почек: УЗ-признаки каликопиелоуретероэктазии справа.
13.05.2024 проведен консилиум в составе заместителя главного врача по акушерско-гинекологической помощи, заведующего отделением акушерской патологии беременных, лечащего врача, заключение: принимая во внимание незрелые родовые пути (по Бишоп 4 балла) у беременной с экстрагенитальной патологией, с осложненным течением беременности в доношенном сроке гестации, удовлетворительное состояние плода, решено начать преиндукцию родов препаратом Мифепристон. Согласие получено. Дана 1‑я таблетка внутрь.
14.05.2024 — принимая во внимание незрелые родовые пути (5 баллов по Бишоп), показано продолжить преиндукцию родов препаратом Мифепристон. Дана 2‑я таблетка внутрь.
15.05.2024 — ожидание спонтанной родовой деятельности. КТГ-нормальный тип записи.
16.05.2024 — ожидание спонтанной родовой деятельности. КТГ-нормальный тип записи. Доплерометрия: при наружной гистерографии не выявлено сократительной способности матки.
Консультирована эндокринологом, диагноз: гестационный сахарный диабет на диетотерапии. Даны рекомендации.
17.05.2024 — осмотрена консилиумом в составе заместителя главного врача по акушерско-гинекологической помощи, заведующего отделением акушерской патологии беременных, лечащего врача, заключение: принимая во внимание зрелые родовые пути (8 баллов по Бишоп), решено индуцировать роды амниотомией 17.05.2024. Согласие получено.
17.05.2024 — переведена из отделения акушерской патологии беременных в родильное отделение с целью индукции родов. В 11:05 проведена амниотомия. Ожидание развития спонтанной родовой деятельности в течение 4 часов. В 16:00 начато родовозбуждение окситоцином под длительной эпидуральной анестезией.
18:30 — жалобы на схватки с 18:00, влагалищное исследование: шейка матки сглажена, открытие маточного зева 5,0 см. Роды продолжили вести консервативно согласно намеченному плану. КТГ — нормальный тип записи. Продолжается родовозбуждение окситоцином со скоростью 9,0 мл/час под ДЭА.
20:26 — родила живого доношенного ребенка мужского пола массой 2790 г, длиной 48 см. 8–9 баллов по Апгар, в 20:27 произведено пересечение пуповины. Переведена в акушерско-физиологическое отделение.
1–7-е сутки после родов без особенностей (жалобы не предъявляет). Задержалась из-за ребенка (неонатальная желтуха). Выписана в удовлетворительном состоянии на 7-е сутки вместе с ребенком.
Как правило, редкие клинические случаи требуют индивидуального рассмотрения и тактики ведения. В данном случае после операции пациентка находилась под динамическим наблюдением в течение 3 месяцев в женской консультации. За этот период пациентка повторных жалоб на тошноту, рвоту до 10–15 раз в сутки, повышение температуры тела не предъявляла, поправилась на 5,5 кг. Родоразрешение произошло в срок через естественные родовые пути доношенного ребенка. Состояние новорожденного по шкале Апгар 8–9 баллов.
Прогноз
Прогноз для жизни и здоровья при соблюдении рекомендаций благоприятный.
ОБСУЖДЕНИЕ
Ахалазия кардии — это хроническое нервно-мышечное заболевание пищевода, при котором нарушается его перистальтика (двигательная активность) и способность нижнего пищеводного сфинктера (кардии) расслабляться во время глотания. В результате пища не может свободно проходить из пищевода в желудок, что приводит к ее застою и расширению пищевода [13][14].
В России нет официальной статистики по заболеваемости ахалазией кардии, однако, по данным научных публикаций, она занимает третье место среди причин дисфагии. Распространенность заболевания варьируется от 10 до 15,7 случая на 100 000 населения, а заболеваемость составляет 1,07–2,2 на 100 000 в год среди взрослого населения [14].
Беременные с диагнозом ахалазия кардии — редко встречающаяся комбинация, в связи чем возникают сложности ведения данной категории пациентов. Сложность диагностики ахалазии кардии во время беременности заключается в схожих симптоматических проявлениях, особенно в первом триместре беременности. Часто женщины связывают симптомы ахалазии (дисфагия, тошнота, периодическая рвота) с беременностью и не уделяют должного внимания своему состоянию [15–18].
Такие пациенты должны поступать в крупные клинические центры, которые имеют в своем арсенале весь необходимый спектр диагностических методов обследования и хирургического и/или малоинвазивного лечения [15][16]. Для диагностики ахалазии кардии во время беременности нужны не только стандартные инструментальные методы исследования, такие как эзофагогастродуоденоскопия и рентгеноскопия, но и дополнительные методы, которое есть только в крупных медицинских центрах, такие как манометрия пищевода высокого разрешения, которая, в свою очередь, является «золотым стандартом» диагностики всех функциональных расстройств пищевода.
Таким образом, сочетание ахалазии кардии и беременности требует комплексного подхода к диагностике и лечению данной группы пациентов [19]. Необходимо учитывать индивидуальные особенности каждого случая и выбирать оптимальные методы лечения, минимизируя риски для матери и плода, с участием консилиума из нескольких разнопрофильных специалистов.
ЗАКЛЮЧЕНИЕ
В настоящее время ПОЭМ является «золотым стандартом» лечения ахалазии кардии. Данное вмешательство обладает высокой эффективностью и безопасностью. Применение ПОЭМ у беременной пациентки является единичным случаем в мировой практике. Данная операция прошла успешно и никак не повлияла на дальнейшее развитие плода, а, наоборот, вернула пациентку к физиологическому приему пищи и полноценному развитию плода. Благодаря развитию мини-инвазивной эндоскопической хирургии пациентке провели успешную операцию ПОЭМ при беременности 28 недель.
1. Министерство здравоохранения Российской Федерации. Анестезия при хирургических вмешательствах во время беременности. Методические рекомендации. 2025.
Список литературы
1. Oude Nijhuis RAB, Zaninotto G, Roman S, Boeckxstaens GE, Fockens P, Langendam MW, Plumb AA, Smout A, Targarona EM, Trukhmanov AS, Weusten B, Bredenoord AJ. European guidelines on achalasia: United European Gastroenterology and European Society of Neurogastroenterology and Motility recommendations. United European Gastroenterol J. 2020;8(1):13–33. https://doi.org/10.1177/2050640620903213
2. Валитова Э.Р., Янова Т.И., Полякова В.В., Березина О.И., Бодунова Н.А., Бордин Д.С. Современные представления об этиопатогенезе и лечении ахалазии. Эффективная фармакотерапия. 2021;17(28):62–70. http://dx.doi.org/10.33978/2307-3586-2021-17-28-62-70
3. Pressman A, Behar J. Etiology and Pathogenesis of Idiopathic Achalasia. J Clin Gastroenterol. 2017;51(3):195–202. https://doi.org/10.1097/MCG.0000000000000780. PMID: 28009686
4. Кайбышева В.О., Кирильцева М.М., Смирнов А.А., Федоров Е.Д., Шаповальянц С.Г. Обзор основных положений новой Чикагской классификации нарушений моторной функции пищевода. Доказательная гастроэнтерология. 2023;12(1):66–84. https://doi.org/10.17116/dokgastro20231201166
5. Khashab MA, Vela MF, Thosani N, Agrawal D, Buxbaum JL, Abbas Fehmi SM, Fishman DS, Gurudu SR, Jamil LH, Jue TL, Kannadath BS, Law JK, Lee JK, Naveed M, Qumseya BJ, Sawhney MS, Yang J, Wani S. ASGE guideline on the management of achalasia. Gastrointest Endosc. 2020;91(2):213–227.e6. https://doi.org/10.1016/j.gie.2019.04.231
6. Pesce M, Pagliaro M, Sarnelli G, Sweis R. Modern Achalasia: Diagnosis, Classification, and Treatment. J Neurogastroenterol Motil. 2023;29(4):419–427. https://doi.org/10.5056/jnm23125
7. Vespa E, Pellegatta G, Chandrasekar VT, Spadaccini M, Patel H, Maselli R, Galtieri PA, Carlani E, Sharma P, Hassan C, Repici A. Long-term outcomes of peroral endoscopic myotomy for achalasia: a systematic review and meta-analysis. Endoscopy. 2023;55(2):167–175. https://doi.org/10.1055/a-1894-0147
8. Friedel D, Stavropoulos SN. Peroral endoscopic myotomy for achalasia. Minerva Gastroenterol (Torino). 2023;69(2):239–253. https://doi.org/10.23736/S2724-5985.22.03080-7
9. Ujiki MB, VanDruff VN. Peroral Endoscopic Myotomy for Achalasia. World J Surg. 2022;46(7):1542–1546. https://doi.org/10.1007/s00268-022-06477-1
10. Patti MG, Herbella FA. Laparoscopic heller myotomy versus peroral endoscopic myotomy for the treatment of achalasia. Curr Opin Gastroenterol. 2024;40(4):314–318. https://doi.org/10.1097/MOG.0000000000001024
11. Канищев И.С., Шишин К.В., Недолужко И.Ю., Шумкина Л.В. Выбор оптимального метода лечения ахалазии кардии у пациентов пожилого и старческого возраста. Доказательная гастроэнтерология. 2022;11(4):57–64. https://doi.org/10.17116/dokgastro20221104157
12. Tan S, Zhong C, Ren Y, Luo X, Xu J, Fu X, Peng Y, Tang X. Efficacy and Safety of Peroral Endoscopic Myotomy in Achalasia Patients with Failed Previous Intervention: A Systematic Review and Meta-Analysis. Gut Liver. 2021;15(2):153–167. https://doi.org/10.5009/gnl19234
13. Oude Nijhuis RAB, Zaninotto G, Roman S, Boeckxstaens GE, Fockens P, Langendam MW, Plumb AA, Smout A, Targarona EM, Trukhmanov AS, Weusten B, Bredenoord AJ. European guidelines on achalasia: United European Gastroenterology and European Society of Neurogastroenterology and Motility recommendations. United European Gastroenterol J. 2020;8(1):13–33. https://doi.org/10.1177/2050640620903213
14. Анищенко В.В., Ковган Ю.М., Платонов П.А. Обзор современных тенденций диагностики, консервативного и хирургического лечения ахалазии кардии. Journal of Siberian Medical Sciences. 2015;5:33.
15. Negash AA, Demissie ZG, Asefa HG, Wakoya AD, Abdulahi SA, Bacha DG. Achalasia-induced catastrophe in pregnancy: Empyema, esophageopleural fistula, septic shock, fetomaternal survival, multidisciplinary management, and literature review. A case report. Int J Surg Case Rep. 2025;135:111863. https://doi.org/10.1016/j.ijscr.2025.111863
16. Rottenstreich A, Brodie R, Marom G, Jacob H, Benson A, Mintz Y. Reproductive Outcomes Among Women of Childbearing Age with Achalasia After Peroral Endoscopic Myotomy: A Single-Center Experience. J Laparoendosc Adv Surg Tech A. 2021;31(2):183–188. https://doi.org/10.1089/lap.2020.0379
17. Mei JY, Mendoza D, Gutierrez M, Rao R. Primary achalasia diagnosed during pregnancy: rare cause of nausea and vomiting. BMJ Case Rep. 2024;17(6):e258792. https://doi.org/10.1136/bcr-2023-258792
18. Narang U, Narang L. Oesophageal achalasia diagnosed in pregnancy in a woman managed as severe hyperemesis refractory to medical management. J Obstet Gynaecol. 2019;39(7):1032–1033. https://doi.org/10.1080/01443615.2019.1587393
19. Mejía RJ, Sáez J, Quitral RA, Monrroy HA, Belmar CG, Sharp AC. Case report: Per oral endoscopic myotomy (POEM) during pregnancy. Clin Case Rep. 2023;11(3):e7147. https://doi.org/10.1002/ccr3.7147
Об авторах
С. А. ГабриэльРоссия
Габриэль Сергей Александрович — доктор медицинских наук, доцент, профессор кафедры хирургии № 3;
главный врач
ул. им. Митрофана Седина, д. 4, г. Краснодар, 350055;
ул. Красных Партизан, д. 6/2, г. Краснодар, 350012
Г. А. Пенжоян
Россия
Пенжоян Григорий Артемович — доктор медицинских наук, профессор, заведующий кафедрой акушерства, гинекологии и перинатологии № 2
ул. им. Митрофана Седина, д. 4, г. Краснодар, 350055
В. М. Дурлештер
Россия
Дурлештер Владимир Моисеевич — доктор медицинских наук, профессор, заведующий кафедрой № 3;
заместитель главного врача по хирургии
ул. им. Митрофана Седина, д. 4, г. Краснодар, 350055;
ул. Красных Партизан, д. 6/2, г. Краснодар, 350012
М. В. Беспечный
Россия
Беспечный Михаил Васильевич — ассистент кафедры хирургии № 3;
врач-эндоскопист отделения
ул. им. Митрофана Седина, д. 4, г. Краснодар, 350055;
ул. Красных Партизан, д. 6/2, г. Краснодар, 350012
Рецензия
Для цитирования:
Габриэль С.А., Пенжоян Г.А., Дурлештер В.М., Беспечный М.В. Пероральная эндоскопическая миотомия в лечении беременной пациентки с ахалазией кардии: клинический случай. Кубанский научный медицинский вестник. 2026;33(1):73-82. https://doi.org/10.25207/1608-6228-2026-33-1-73-82
For citation:
Gabriel S.A., Penzhoyan G.A., Durleshter V.M., Bespechniy M.V. Peroral endoscopic myotomy in the treatment of a pregnant achalasia patient: A clinical case. Kuban Scientific Medical Bulletin. 2026;33(1):73-82. (In Russ.) https://doi.org/10.25207/1608-6228-2026-33-1-73-82
JATS XML
































